Hírek
2019. Június 21. 08:42, péntek | Életmód
Veszélyes lehet az akupunktúrás kezelés
Krónikus hátfájdalma miatt fordult a 79 éves portugál asszony az ősi kínai módszerhez. Arra azonban nem számított, hogy az ártalmatlannak tűnő akupunktúrás kezelés milyen életveszélyes állapotot fog előidézni nála.
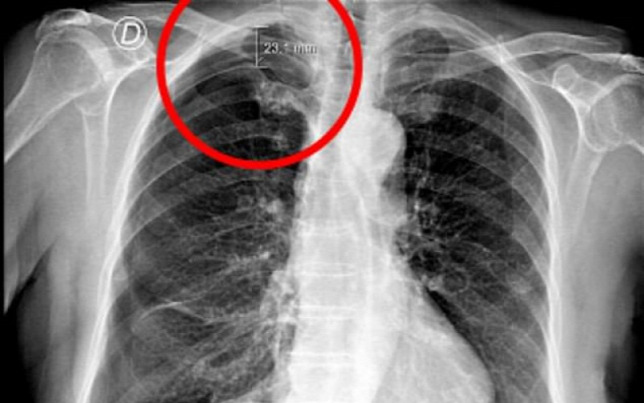
A terápiát követően a nőnek légzési nehézségei támadtak ezért orvoshoz fordult. A röntgenfelvétel hamar feltárta a probléma gyökerét: jobb tüdejének egy része összeomlott, légmell alakult ki nála.
Normál esetben természetesen a tüdő nem omlik magától össze; ehhez az kell, hogy a mellhártyaüregbe levegő kerüljön. Ez történhet a tüdő sérülése, betegsége miatt, amikor is levegő szivárog ki a légzőszervből.
A nő esetében az okozott bajt, hogy a tűt túl mélyen, és rossz szögben szúrták be a lapockák közötti területen. Ez azért különösen érzékeny régió, mert a tüdő csupán 1-2 centire helyezkedik el a bőr felső rétegétől, könnyű tehát kárt okozni benne.
Kezelés gyanánt a páciens mellüregébe egy csövet vezettek, amivel elszívták a levegőt, a beteg oxigénellátását közben orrszondán keresztül oldották meg. Szerencsére az asszony szövődmények nélkül felépült, és elhagyhatta a kórházat.
Az esetről a BMJ Case Reports orvosi szakfolyóirat számolt be.
Az akupunktúráról
Az akupunktúra a hagyományos kínai orvoslás egyik legismertebb és legelterjedtebb módszere. Lényege, hogy a páciens testének kritikus pontjain a bőrbe vékony fémtűket szúrnak (a tűk átmérője 0,16-0,46 mm, hosszuk 13 mm-től akár 130 mm-ig terjedhet). A hagyományos kínai orvoslás szerint a megfelelő akupunktúrás pontok manuális vagy elektromos ingerlése a gyógyulást segítő folyamatokat vált ki a beteg szervezetében. Mai napig folynak a viták arról, hogy a kezelés mennyire tekinthető hatásosnak.
Forrás: origo.hu
Kép: BMJ Case Reports
Ezek érdekelhetnek még
2026. Május 04. 14:00, hétfő | Életmód
Magyar Mérnöki Kamara: fordulópont előtt áll az elektromos autózás Magyarországon
Fordulópont előtt áll az elektromos autózás Magyarországon - közölte a Magyar Mérnöki Kamara az MTI-vel az elektromobilitásról készített tanulmánya alapján.
2026. Május 04. 13:00, hétfő | Életmód
Hétfőn kezdődik a Magyar Tudományos Akadémia 200. közgyűlése
Ünnepi üléssel veszi kezdetét hétfőn a Magyar Tudományos Akadémia (MTA) 200. közgyűlése, amelyen sor kerül az intézmény új vezetőinek megválasztására és Krasznahorkai László Nobel-díjas író köszöntésére is.
2026. Május 03. 15:00, vasárnap | Életmód
Meteorológia: áprilisban a megszokott mennyiségnek csak az egytizede esett
Áprilisban átlagosan 40 milliméter eső esik Magyarországon, de idén mindössze 4 milliméter esett országos átlagban, vagyis az ilyenkor megszokott mennyiség egytizede - írta a HungaroMet Zrt. a Facebook-oldalán szombaton.
2026. Május 02. 14:00, szombat | Életmód
Csapadékos májust remélnek a gabonatermesztők
Nem kedvez az időjárás a szántóföldi növényeknek, de a következő hetekben egy nagyobb csapadék még sokat segítene - mondta az MTI-nek a Gabonatermesztők Országos Szövetségének elnöke.
