Hírek
2019. Június 21. 08:42, péntek | Életmód
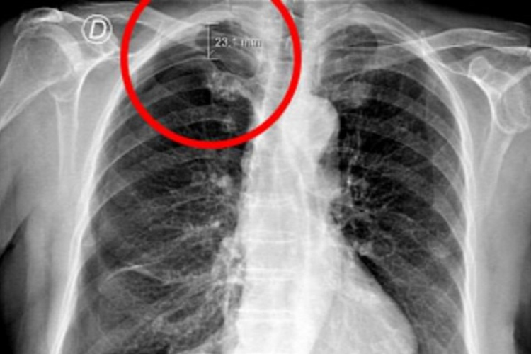
Veszélyes lehet az akupunktúrás kezelés
Krónikus hátfájdalma miatt fordult a 79 éves portugál asszony az ősi kínai módszerhez. Arra azonban nem számított, hogy az ártalmatlannak tűnő akupunktúrás kezelés milyen életveszélyes állapotot fog előidézni nála.

